Radiotherapy starts with scans like a CT or MRI to get a clear picture of the tumour’s size and position.
Then, specialists called medical physicists and dosimetrists work together to figure out the best way to deliver the right amount of radiation. The goal is to hit the cancer with the strongest dose while keeping the nearby healthy areas safe. This careful planning helps make your treatment both effective and safe.
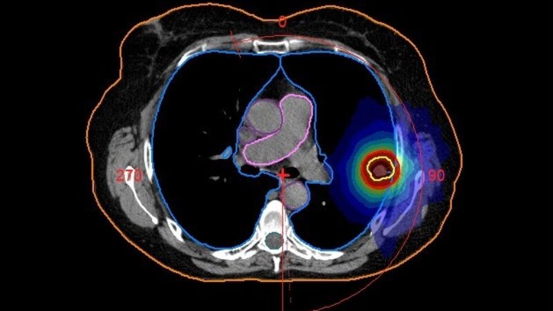
Dosimetry
The dosimetry department plays a key role in your radiotherapy treatment journey. Their main job is to make sure that the amount of radiation used during your treatment is carefully planned and precisely delivered to the cancer area, while protecting as much healthy tissue as possible. Although you may not meet the dosimetry team directly, their work is essential to the success of your treatment.
What does the dosimetry team do?
Before your radiotherapy begins, your cancer treatment team, which includes doctors, radiation therapists, and medical physicists, work together to design a treatment plan tailored specifically for you. The dosimetry team is responsible for the technical side of this process, making sure the right amount of radiation (called the “dose”) is used.
During treatment
Once your radiotherapy starts, the dosimetry team continues to monitor your treatment closely. They can review your progress to ensure the treatment plan is being followed accurately. If any adjustments are needed, they will make changes to the plan to ensure the best possible outcome.
Why is the dosimetry team important?
The work of the dosimetry team is essential to making sure your radiotherapy is safe, precise, and effective. Without their detailed calculations and careful planning, it would be difficult to accurately target the cancer while minimising the risk to healthy tissues. Their expertise in radiation physics and treatment planning ensures that your cancer treatment is customised specifically for you.
In summary, the dosimetry department works behind the scenes to create a personalised, accurate radiotherapy plan that gives you the best chance of success while reducing the risk of side effects. Their role is critical to ensuring the safety and effectiveness of your treatment.

Radiotherapy physics
The radiotherapy physics department plays a vital role in ensuring that your radiotherapy treatment is safe, accurate, and effective. While you may not interact with this team directly, their work is crucial to making sure the radiation you receive is delivered in the best way possible to target the cancer while protecting healthy tissue.
What does the radiotherapy physics team do?
The radiotherapy physics team consists of highly trained medical physicists and technical staff who specialise in understanding how radiation works and how to deliver it safely. Their primary job is to ensure that all the machines, software, and equipment used in your radiotherapy are working correctly and that the radiation dose you receive is exactly what’s needed for your treatment.
Why is the physics team important?
The physics department ensures that every aspect of your radiotherapy is scientifically sound and safe. By maintaining and monitoring the complex technology used in your treatment, they help deliver precise radiation doses that are essential for effectively treating cancer while minimising side effects.
In summary, the radiotherapy physics team ensures that the machines are working properly, your treatment plan is accurate, and that every session is carried out safely and precisely to give you the best possible results.