Your radiotherapy treatment

Radiotherapy treatment is individualised to every patient but follows a similar pattern. Use the links below to find out more about what happens along your radiotherapy journey.

  • prehabfull

    Prehabilitation

    Prehabilitation is a vital part of your radiotherapy journey that helps prepare your body and mind for treatment.
  • Patient having a radiotherapy mask made

    Mould room

    In the mould room, patients have bespoke masks made which can be used in their head and neck cancer treatment.
  • Patient lying on radiotherapy CT couch

    Pre treatment

    The pre-treatment scans are a very important step in your radiotherapy journey.
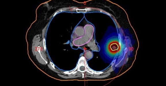
  • Radiotherapy lung treatment plan

    Radiotherapy treatment planning

    Radiotherapy treatment planning is a process that helps ensure radiation targets the cancer as accurately as possible while protecting healthy tissue.
  • Patient receiving treatment to the arm

    Therapax

    Therapax plays an important role in the radiotherapy pathway for patients with cancers close to the surface of the skin.
  • brachy pic

    Brachytherapy

    Brachytherapy is given by a machine called a high dose rate (HDR) microselectron and can be given alone or in addition to external radiotherapy.
  • Staff with radiotherapy machine

    External beam radiotherapy

    Radiotherapy is a common and effective treatment for cancer that uses high-energy radiation to destroy cancer cells.
  • Review team member speaking to patient

    Radiotherapy on treatment review

    The on-treatment review team will monitor your well-being, help manage side effects, and offer support during your radiotherapy.
  • Linear accelerator undergoing service

    Radiotherapy engineering

    The radiotherapy engineering department plays a crucial role in making sure that the machines used for your treatment are always working properly and safely.