
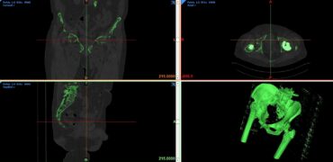
The digital skills lab contains two fused deposition model 3D printers that can print life-like sizes of bones. The 3D printed bone model can be used for planning bone surgery and education. The surgeon can use the bone to help prepare for their surgery alongside the traditional CT scan.
Our clinical scientists and technologists segment the bones from a CT scan when they receive a request from an orthopaedic surgeon. This requires the team’s knowledge of anatomy. To ensure the life-like size of the bone, the team use their scientific knowledge and understanding of quality assurance to perform tests and experiments to ascertain the the size of the bone that is printed, in comparison to the size of the bone inside the body.
Our 3D printing service won a Bright Ideas in Health award for ‘Demonstrating an impact upon patient safety/quality improvement’, in 2023.
